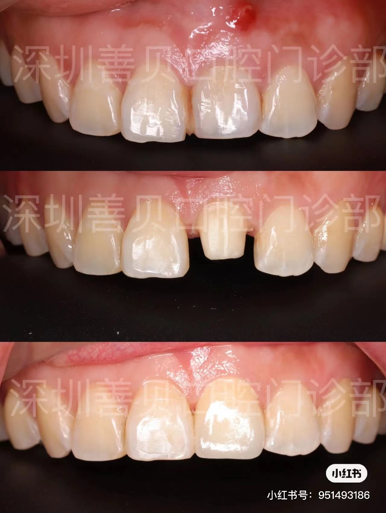
深圳善貝口腔專業牙醫表示,外傷或進食時突然咬到硬物常常引起後牙折裂,折裂後的牙齒能否保留需視折裂情況而定。
①如果患牙只是折斷部分牙尖,除冷熱剌激會引起短暫酸痛外沒有其他不適,這時只需將銳利的斷面邊緣磨圓鈍,做些脫敏處理,不必進行修復治療。②如果牙冠折裂部分較多,牙髓(牙神經)已經暴露(可以見到牙齒內部有血流出),斷片去除後剩下的牙冠並未缺損至牙齦以下過多(不超過2毫米),則先處理牙髓,也就是先完成根管治療;然後再用樹脂加螺紋釘或鑄造中心的方法,彌補缺損太多的穿冠;最後外面套金屬冠或烤瓷冠保護剩餘的牙體,同時恢復患牙的形態和功能。另外,折裂未露髓但有激發疼痛,也可能需牙髓處理。③如果牙齒縱折(牙根與牙冠均折斷),或去除斷片後剩餘的牙體缺損太多(超過牙齦以下2毫米)只能拔除。④外傷造成牙根折斷(折斷部位近根尖1/3)時,可通過根管治療保存患牙。

善貝口腔溫馨提示:出現牙齒折斷的情況建議儘快到牙科處理,避免因為沒有及時處理導致牙髓受傷!






點擊「打開微信」進入微信,點右上⊕,粘貼ID,添加客服開始免費咨詢!