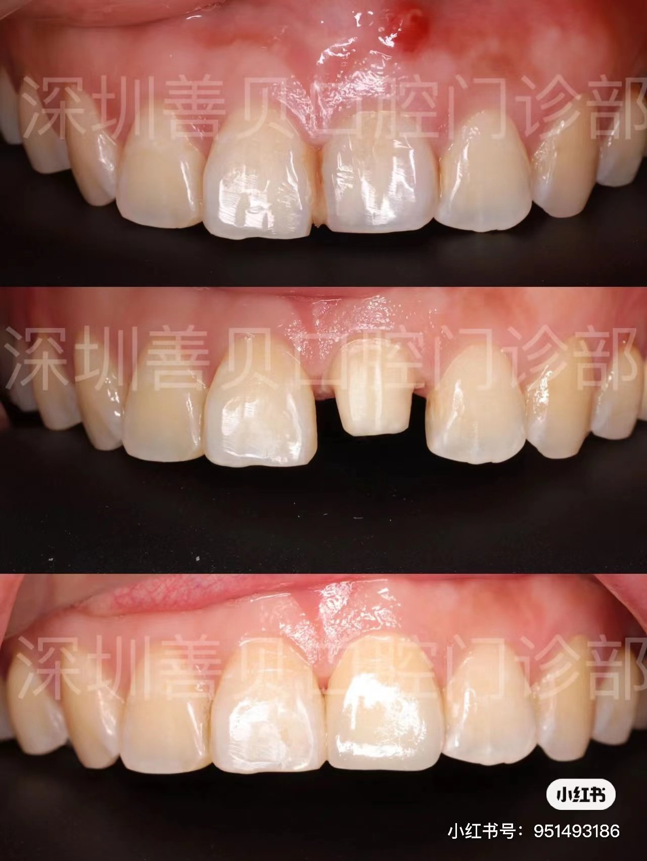
做完根管治療之後牙醫會建議做個牙冠保護牙齒,但是發現牙醫在磨牙取模之後就做了個牙冠在牙齒上面,牙醫說是臨時牙,牙冠也有臨時的嗎?臨時牙有什麼作用呢?能用多久呢?深圳善貝口腔專業牙醫為大家科普一下!
在製作牙冠的時候需要將牙齒的各個牙面磨除一部分,磨除的部分就是冠的厚度,這個磨牙的過程叫做備牙。無論是有神經還是沒有神經的牙齒,備牙後都需要做一個暫時的塑膠牙冠保護牙齒,這個冠由於只戴一兩周的時間,所以稱之為臨時冠(牙)。

臨時牙冠有什麼作用呢?
1、保護牙齒
無論是有神經還是沒有神經的牙齒,備牙後都需要做一個暫時的牙冠用於保護牙齒。對於有牙神經的牙齒,由於牙釉質已經被磨除了,暴露牙本質在口腔內,如果不做臨時冠,外界的冷熱酸甜刺激就很容易傳導到牙髓腔內,造成牙齒敏感,嚴重的話細菌還會通過牙本質上的小孔進入牙髓腔內,對牙神經造成破壞。對於沒有牙神經的牙齒,同樣需要做臨時冠,保護脆弱的剩牙,避免由於進食不小心造成的牙齒劈裂、崩斷。
2、維持間隙
臨時冠還有一個非常重要的作用,就是維持牙齒磨除的各個牙面的間隙,這個間隙也就是未來牙冠各個面的厚度。我們的牙齒看似是一直固定的,可卻是每天都在運動,由於牙齒被磨除了一部分,原來的平衡被打亂了,它需要建立一個新的平衡點,牙齒被磨除的間隙會逐漸縮小,直到與周圍的牙齒、與對頜牙齒完全接觸為止,建立新的平衡,這也就是牙齒拔除後不及時鑲複,鄰牙要倒、對頜牙會伸長的原因。
3、維持美觀
牙備牙後,無論是一顆還是一口的美觀度都會大打折扣。許多人選擇冠修復一定程度上也是為了美觀著想,而在到正式完成治療的這段時間一般都有一至兩周的空窗期,這個時間說起來也不短,所以佩戴臨時牙就維持美觀度上也是非常有必要的。
善貝口腔溫馨提示:假如需要進行牙冠修復的話,一定要到專業正規的牙科,避免不專業的操作影響牙冠的使用壽命!






點擊「打開微信」進入微信,點右上⊕,粘貼ID,添加客服開始免費咨詢!